台大皮膚科 王修含 醫師
「黑色棘皮症」(acanthosis nigricans)是一種好發於腋下、頸部、腹股溝鼠蹊等皮膚皺摺處的皮膚病變,這種疾病的組織病理機轉,是因為表皮層的角質細胞與真皮層的纖維母細胞過度增生所致。

圖: 黑色棘皮症(acanthosis nigricans)好發於腋下、頸部、腹股溝鼠蹊等皮膚皺摺處,可伴隨皮膚贅瘤(又稱為軟垂瘤、皮膚纖維瘤,soft fibroma/ skin tag/ acrochordon)的增生(如本圖之皮膚突起物)。(攝於台大醫院)

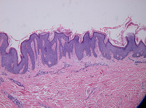
圖:黑色棘皮症 acanthosis nigricans的皮膚病理圖,表皮層的角質細胞與真皮層的纖維母細胞有過度增生的情況。(張家華醫師提供)
進一步詳述黑色棘皮症的類型與相關疾病如下:
1. 與肥胖相關(obesity-associated):
此為最常見的一型,與肥胖有關,減重之後,病灶可自行消退。
2. 良性型(benign):為自體顯性(autosomal dominant)的遺傳型式。
3. 某些症候群的皮膚表徵(syndromic):
又可分為兩種類型:
type A (HAIR-AN):與糖尿病胰島素抗性有關,症狀為「高雄性素血症/胰島素抗性-黑色棘皮症」 (HyperAndrogenemia/ Insulin Resistance-Acanthosis Nigricans),故簡稱為HAIR/AN。
type B: 與結締組織疾病的症候群有關,例如硬皮症(scleroderma)、Rud syndrome、Bloom syndrome、Lawrence-Seip syndrome、Crouzon syndrome等有關。
4. 與惡性腫瘤(malignancy)有關,常造成口腔黏膜、手掌部位的黑色棘皮症:
可能相關的疾病:胃癌(gastric cancer)(尤其是胃腺癌(gastric adenocarcinoma)、支氣管源癌(bronchogenic carcinoma,源於支氣管粘膜或腺體的癌症)等。
分子生物學上的機轉,可能與TGF-alpha (transforming growth factor-alpha)濃度增加有關。
5. 由藥物誘發者(drug-induced):
這些藥物包括:
a. 皮下胰島素注射(subcutaneous insulin injection)
b. 局部使用夫西地酸(fusidic acid,一種抗生素藥膏)
c. 全身性/系統性使用(systemic administration,口服或注射)下列藥物:
類固醇(corticosteroid)、
雄性激素(testosterone)、
diethylstilbestrol(DES,雌激素,一種女性荷爾蒙)、避孕藥(oral pills)、
菸鹼酸(維生素B3,即niacin, nicotinic acid)、
三嗪環(triazinate, TZT,一種化療藥物,可治療胃癌,為葉酸拮抗劑folic acid antagonist,可抑制二氫葉酸還原酶dihydrofolate reductase)、
人類生長激素(somatotrophin,亦稱為human growth hormone, hGH)
(註:這些藥物種類繁多,在門診進行診療時,常不易完整地評估病患用藥史,
特整理個人記憶要訣如下,以供參考:IF CoTest, DONT So)
6. 與內分泌(endocrine)有關者:
甲狀腺功能亢進或低下(hyperthyroidism/ hypothyroidism)、肢端肥大症(acromegaly)
 
沒有留言:
張貼留言
注意:只有此網誌的成員可以留言。